Neste artigo, apresento um caso de implante pós-extracional com carga imediata, onde a estratégia cirúrgica foi pensada ao detalhe para preservar os tecidos e garantir condições para um provisório aparafusado logo após a cirurgia.
Situação inicial
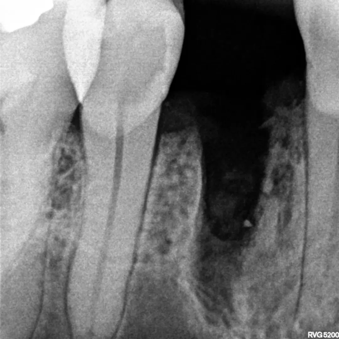
O paciente apresentava um dente comprometido que necessitava de extração. Nas radiografias periapicais, era visível o comprometimento da estrutura dentária, mas as tábuas ósseas circundantes encontravam-se preservadas, o que abria a porta para uma abordagem imediata.
O objetivo era claro: extrair o dente, colocar o implante e sair da consulta com um provisório fixo, evitando o período sem dente e preservando ao máximo os tecidos moles e o perfil de emergência.
A solução escolhida
Optei por uma reabilitação imediata, combinando extração atraumática, implante e provisório numa única sessão cirúrgica.
O caso seguiu estes passos:
- Exodontia atraumática: Realizei a extração com o máximo cuidado para preservar a totalidade das tábuas ósseas, condição fundamental para a estabilidade do implante e do resultado final.
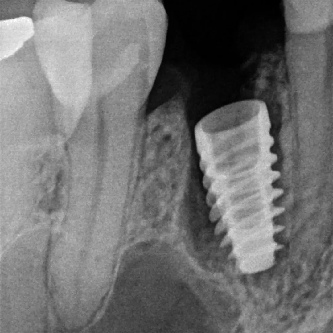
- Instalação do implante com posicionamento palatinizado: Coloquei o implante numa posição ligeiramente palatinizada, de forma a garantir o espaço ("gap") vestibular necessário entre o implante e a tábua óssea vestibular.
- Preenchimento do gap com biomaterial: Preenchi o espaço entre o implante e a tábua vestibular com osso (biomaterial), compensando a reabsorção fisiológica que ocorre naturalmente após a extração e mantendo o volume dos tecidos moles.
- Carga imediata com provisório aparafusado: Obtivemos o torque necessário para avançar com a instalação de um provisório aparafusado imediatamente após a cirurgia, diretamente em consultório.
O provisório imediato funciona como um condicionador de tecidos, mantendo o perfil de emergência e preservando as papilas interdentárias que seriam perdidas num processo de cicatrização convencional sem dente.
O resultado é menos tempo de cadeira, menor morbilidade para o paciente e uma estética final muito mais previsível quando chegar a altura da coroa definitiva.
Resultado
Nas imagens, é possível acompanhar a sequência completa: desde as radiografias iniciais com o dente comprometido, passando pela fase cirúrgica com a extração e colocação do implante, até ao provisório aparafusado em posição. A radiografia final confirma o bom posicionamento do implante e o preenchimento adequado do gap vestibular.
Conclusão
Este caso demonstra como a combinação de extração atraumática, implante pós-extracional e carga imediata permite resolver situações de dentes comprometidos de forma rápida e previsível, preservando os tecidos e oferecendo ao paciente uma solução estética desde o primeiro dia.
Se queres saber mais sobre reabilitações orais, técnicas e casos clínicos, subscreve à minha lista de emails e acompanha os próximos artigos.















.webp?h=3b3ccf13e0716c0acb112f183ebb799c)

