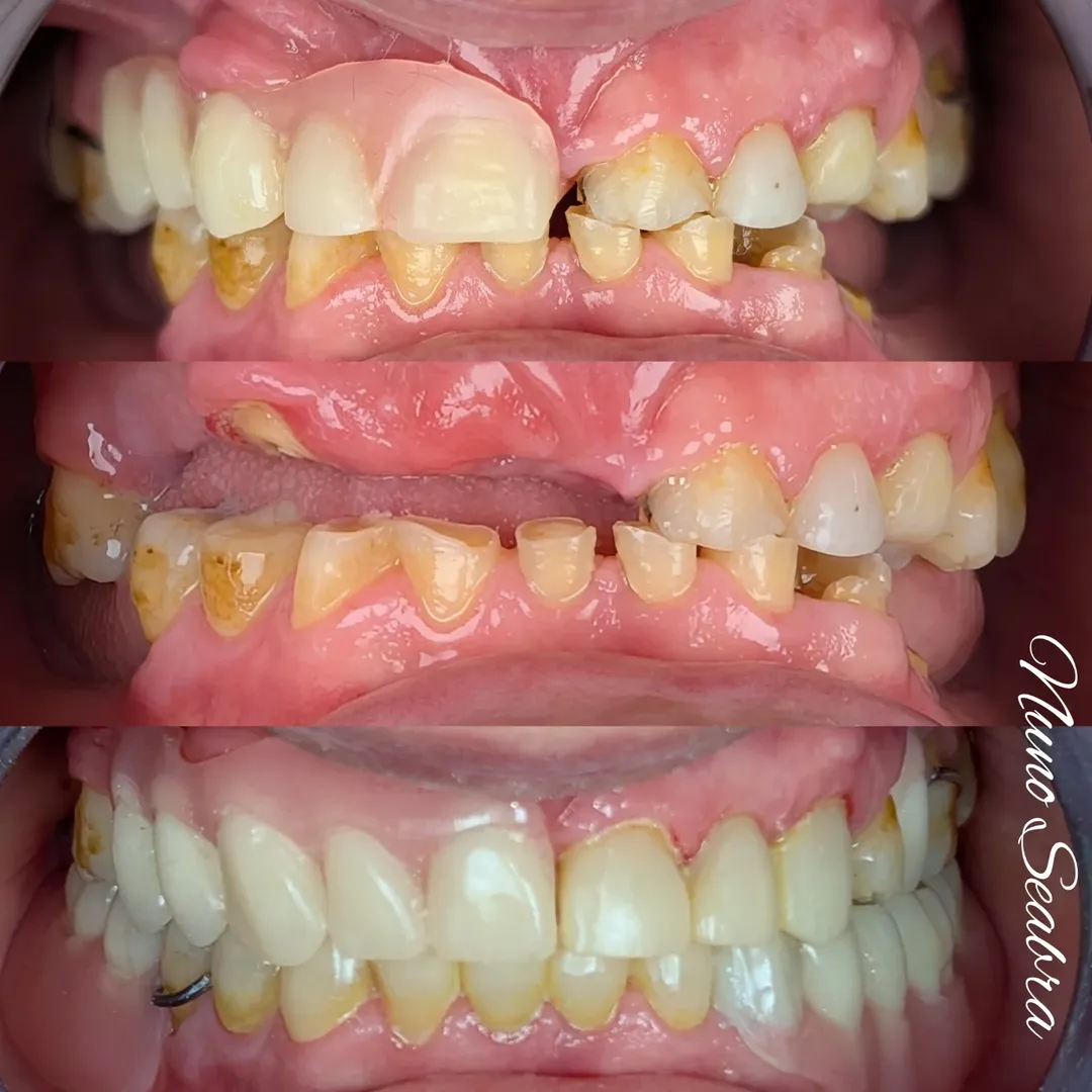
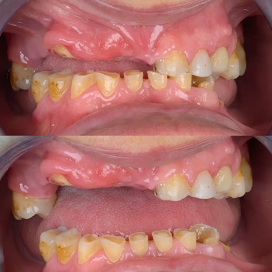
Quando falamos em reabilitação oral, há casos que nos desafiam a juntar várias técnicas para alcançar o melhor resultado possível. Este é um desses casos, em que o paciente apresentava desgaste dentário severo, ausência de dentes em zonas importantes e, sobretudo, uma perda significativa da dimensão vertical de oclusão (DVO)...

Restaurar a DVO não é apenas devolver altura à mordida do paciente. É devolver-lhe a função mastigatória, equilíbrio articular e uma boa estética dentária. Esta recuperação pode ser feita de forma minimamente invasiva, utilizando resina composta para ganhar altura e criar uma base mais estável para o passo seguinte: as próteses removíveis.
Nas imagens iniciais, vemos claramente o impacto do desgaste e da perda dentária.
Dentes fraturados, alterações no sorriso e uma grande limitação funcional e estética. A simples colocação de próteses convencionais resolveria parcialmente o problema, mas traria desconforto e necessidade de ganchos visíveis, algo que tento sempre evitar.
A decisão foi trabalhar com novas próteses removíveis acrílicas, mas ancoradas de forma mais inteligente. Aproveitámos os dentes 13 e 33 para colocar equators, transformando as próteses em sobredentaduras (overdentures).
O que é que isto significa, na prática?
As sobredentaduras permitiram combinar o suporte protético com um sorriso esteticamente equilibrado, respeitando a função e a harmonia facial.
No slider de imagens, conseguimos acompanhar o processo completo:
Este tipo de abordagem mostra como a combinação de técnicas pode transformar por completo a qualidade de vida do paciente. Não se trata apenas de dentes novos. Trata-se de recuperar a autoestima da pessoa, função mastigatória e saúde oral a longo prazo.
Reabilitar não é apenas substituir o que se perdeu ou meter novo. Ao trabalhar com resina composta e ao recorrer a sobredentaduras suportadas por equators, conseguimos uma ótima solução entre estética, função e conforto que dificilmente seria alcançado com outras soluções convencionais.
Se este tipo de conteúdo te interessa e queres receber mais casos clínicos comentados, reflexões e dicas de reabilitação oral, inscreve-te na minha lista de emails e acompanha os próximos artigos.