Quando trabalhamos em casos de reabilitação oral complexos, existem múltiplas decisões que fazem a diferença. Combinar novas metodologias digitais com técnicas clássicas é o que me permite alcançar resultados previsíveis, estéticos e duradouros.

Este é um desses casos: uma paciente com edentulismo parcial, pouca disponibilidade óssea e mobilidade dentária, que exigiu uma abordagem pré-planeada com detalhes extra, desde o diagnóstico digital até à instalação das peças definitivas.
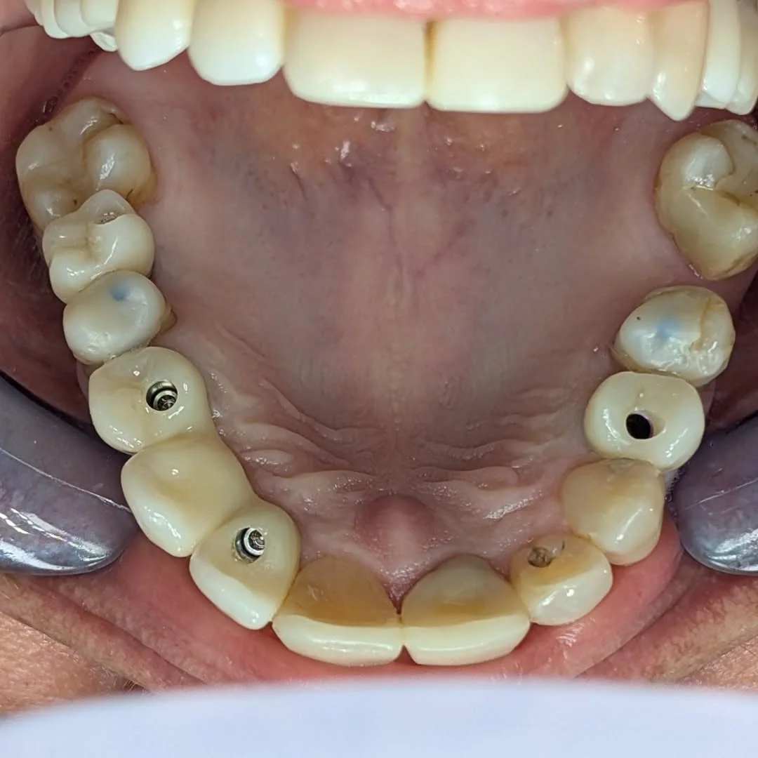
A paciente apresenta algumas ausências dentária, e uma.protese removível. O desejo da paciente era passar para uma solução fixa e deixar a prótese.
A espessura óssea limitada dificultava a colocação de implantes, e o dente 13, com mobilidade, comprometia a estabilidade geral.
O objetivo aqui é: restaurar a função mastigatória, devolver estética e conforto, sendo o mais conservador com os dentes e osso existente, presando sempre em 1 lugar o conforto da paciente.
Para garantir previsibilidade e segurança, optei por uma sequência totalmente integrada, apoiada no planeamento digital:
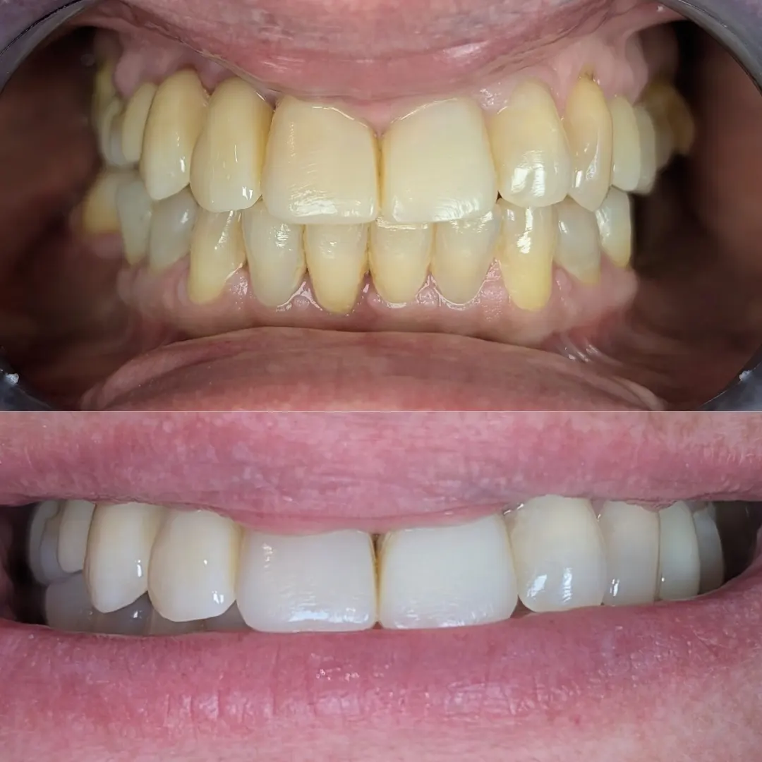
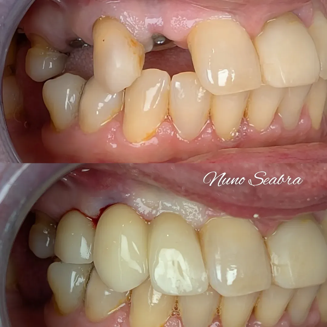
Nas imagens finais, é possível ver a evolução completa deste tratamento.
O resultado faz o sorriso parecer natural, devolvendo à paciente confiança e qualidade de vida.
A integração entre o planeamento digital, a cirurgia guiada e as técnicas restauradoras permite-nos de hoje em dia tratar de casos complexos com segurança e prever o que vai acontecer.
Mais do que reabilitar dentes, trata-se de reconstruir sorrisos e ajudar o paciente a ter uma expectativa antes de avançar.
Se queres saber mais sobre reabilitações complexas, planeamento digital e casos clínicos reais, subscreve à minha lista de emails e acompanha os próximos artigos.