Reabilitação de Sorriso Gengival com Perda de DVO: Gengivectomia, Osteotomia e Aumento em Resina

Na odontologia reabilitadora, casos com sorriso gengival acentuado e perda significativa de dimensão vertical de oclusão (DVO) exigem um planeamento inicial para restaurar a estética e a função do sorriso.

Casos Clínicos
Nuno Seabra

Técnicas como gengivectomia com osteotomia e aumento de DVO em resina composta permitem-nos essas restaurações, ao nivelar os zenits e criar o espaço oclusal que precisamos, especialmente em pacientes com desgaste dentário avançado.

Este artigo serve para demonstrar que esta abordagem ajuda em casos semelhantes, com foco no planeamento e nos passos iniciais realizados.

O desafio inicial

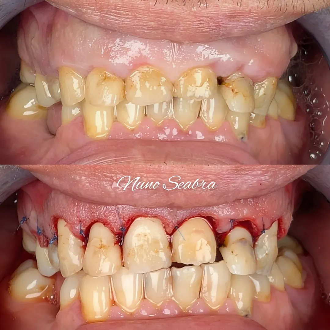
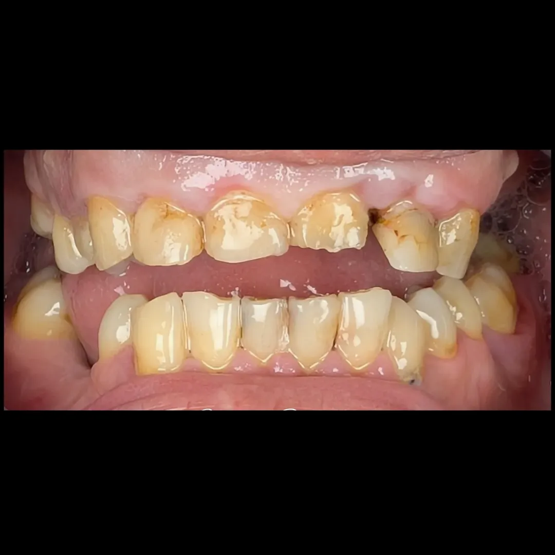
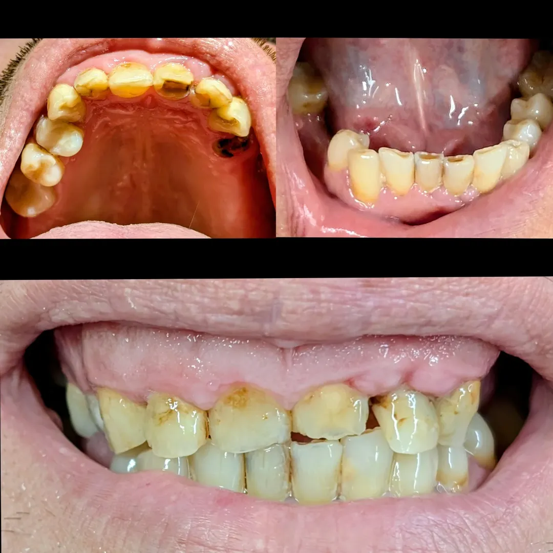
O paciente apresentava um sorriso bastante gengival com uma perda enorme de DVO, e falta de espaço oclusal no 2º quadrante. Associado a isso, existia muito desgaste dentário, que compromete a estética e a funcionalidade da mordida, com overbite pronunciado.

Isto resulta em desconforto estético e funcional, além de limitações para reabilitar áreas edêntulas.

O objetivo é reduzir o sorriso gengival, nivelar os zenits, aumentar a DVO para ganhar espaço e preparar para implantes e coroas definitivas na arcada inferior.

A solução que escolhi

Escolhi uma abordagem combinada, a começar pela correção gengival e o aumento de DVO em resina, para estabilizar o caso e devolver estética inicial.

O procedimento seguiu estes passos:

  • Gengivectomia com osteotomia: Realizo a remoção de tecido gengival excessivo e osteotomia para nivelar os zenits gengivais, a reduzir o sorriso gengival e a criar uma linha mais harmoniosa (foto 4).
  • Aumento de DVO em resina na arcada superior: Aplico resina composta para elevar a DVO, restaurar a altura oclusal e devolver estética ao sorriso, enquanto se prepara o espaço no 2º quadrante.

Esta fase inicial permite-nos uma transformação visível, com o paciente após a gengivectomia, osteotomia e aumento superior, a mostrar um sorriso mais equilibrado.

Benefícios para a paciente

  • Redução do sorriso gengival: O nivelamento melhora a estética imediatamente, e aumenta a confiança do paciente.
  • Ganho de espaço oclusal: O aumento de DVO corrige o overbite e cria condições para reabilitações posteriores sem comprometer a função.
  • Abordagem integrada: Combina cirurgia periodontal com restaurações adesivas, a minimizar invasividade e a acelerar a recuperação.
  • Preparação para finalização: Preparamos a arcada inferior para futuros implantes e coroas definitivas, a garantir durabilidade.

Resultado

Nas imagens, é possível ver a evolução: desde o estado inicial com sorriso gengival e perda de DVO, a passar pela gengivectomia com osteotomia, até ao resultado após o aumento superior em resina, com estética devolvida.

Slide Image
Slide Image
Slide Image
Slide Image
Slide Image

Assim o paciente ganha mais conforto e funcionalidade, principalmente na oclusão. Falta agora aumentar ligeiramente a DVO na arcada inferior para diminuir o overbite e ganhar espaço no 2º quadrante para colocar dentes, a avançar depois com as coroas sobre os implantes.

Conclusão

Esta reabilitação representa uma forma eficaz de integrar técnicas cirúrgicas e restauradoras para casos complexos de sorriso gengival e perda de DVO, a abrir caminhos para resultados estéticos e funcionais duradouros.

Se queres saber mais sobre reabilitações orais, técnicas conservadoras e casos clínicos reais, subscreve à minha lista de emails e acompanha os próximos artigos.

E partilha a tua opinião nos comentários do Instagram!

Publicações Recentes

Ver Tudo