Nem todos os pacientes podem ou querem realizar cirurgias de implantes. Para quem precisa de uma prótese superior estável e com boa estética, a overdenture suportada por dentes naturais é uma alternativa muito eficaz e acessível.
.webp?h=3b3ccf13e0716c0acb112f183ebb799c)
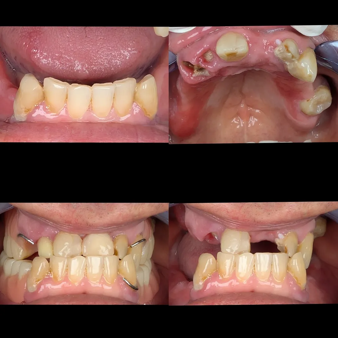
Este era um paciente com vários dentes superiores comprometidos. Necessitava da reabilitação completa, mas queria evitar procedimentos cirúrgicos extensos devido aos cuidados e custos associados.
O objetivo era recuperar a função mastigatória e a estética com rapidez.
O processo seguiu aproximadamente os seguintes passos:
Esta técnica permitiu-me aproveitar os dentes do paciente como pilares, preservando a saúde óssea dos alvéolos dentários.
A overdenture fixa‑se com attachments sobre os dentes ou implantes, oferecendo estabilidade, conforto e um ajuste mais natural.
A overdenture final proporcionou ao paciente um sorriso harmonioso, com mastigação funcional e fala natural. Houve adaptação rápida e significativa melhoria da confiança social. As revisões periódicas ainda ajudam com pequenos ajustes de retenção.
Quando os implantes não são a escolha imediata, a overdenture suportada por dentes remanescentes oferece uma combinação equilibrada de estética, função e custo.
Preserva o osso, restaura a mastigação e melhora a estética facial. É uma solução rápida e previsível que mantém opções abertas para futuras reabilitações.