Em casos de desgaste dentário avançado e existência de cáries avançadas, optar por soluções que restaurem a saúde, função e estética de forma rápida é essencial para melhorar a qualidade de vida do paciente e aproveitar os dentes naturais.

A utilização de resina composta para reconstruir dentes e aumentar a dimensão vertical de oclusão (DVO) destaca-se como uma técnica versátil, permitindo transformações completas em poucas horas, sem a necessidade de múltiplas consultas.
Este é um desses casos: um paciente com dentes severamente comprometidos por cáries e desgaste, que exigiu uma intervenção que removesse as lesões, recuperasse a forma e a estética do sorriso, e restabelecesse as guias de desoclusão, preparando o terreno para próteses removíveis definitivas.
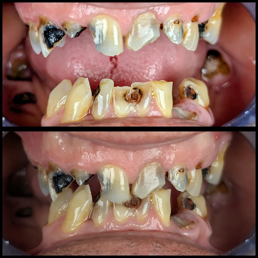
O paciente apresentava múltiplas cáries nos dentes superiores e inferiores, com perda significativa de estrutura dentária, formato irregular e comprometimento da oclusão.
Isso resultava em desconforto mastigatório, estética prejudicada e ausência de guias funcionais, aumentando o risco de problemas articulares no futuro.
O objetivo aqui seria: remover todas as cáries, restaurar a saúde oral, melhorar a forma e a estética do sorriso, aumentar a DVO para equilibrar a mordida e devolver funcionalidade, e a solução deu para realizar tudo em uma única consulta.
Para alcançar um resultado conservador, optei por uma reconstrução direta em resina composta, com foco no aumento da DVO e na modelagem anatómica.
O procedimento seguiu estes passos:
Esta abordagem permitiu uma transformação completa em apenas uma consulta, devolvendo saúde e funcionalidade enquanto se prepara a fase final com próteses removíveis!
Nas imagens, é possível ver a evolução completa: desde o estado inicial com as cáries e desgaste em estado avançado, passando para o resultado da reconstrução em resina, com um sorriso transformado, e com estética e guias restauradas.
Assim o paciente ganha mais conforto, principalmente na mastigação, e avança agora para a finalização com próteses removíveis.
Se queres saber mais sobre técnicas conservadoras, reabilitações adesivas e casos clínicos reais, subscreve à minha lista de emails e acompanha os próximos artigos.