O protocolo All-on-6, com colocação de seis implantes estrategicamente distribuídos e provisionalização imediata, é uma das soluções mais completas para estes cenários. Permite ao paciente sair da cirurgia já com dentes fixos, evitando o desconforto de ficar sem prótese durante a fase de cicatrização.
Neste artigo, apresento um caso de reabilitação total do maxilar superior, desde a extração dos dentes remanescentes e regularização óssea, até à entrega da prótese híbrida definitiva, passando pela carga imediata com provisório fixo.
O foco foi restaurar a dimensão vertical, devolver suporte labial e garantir um resultado estético e funcional duradouro.
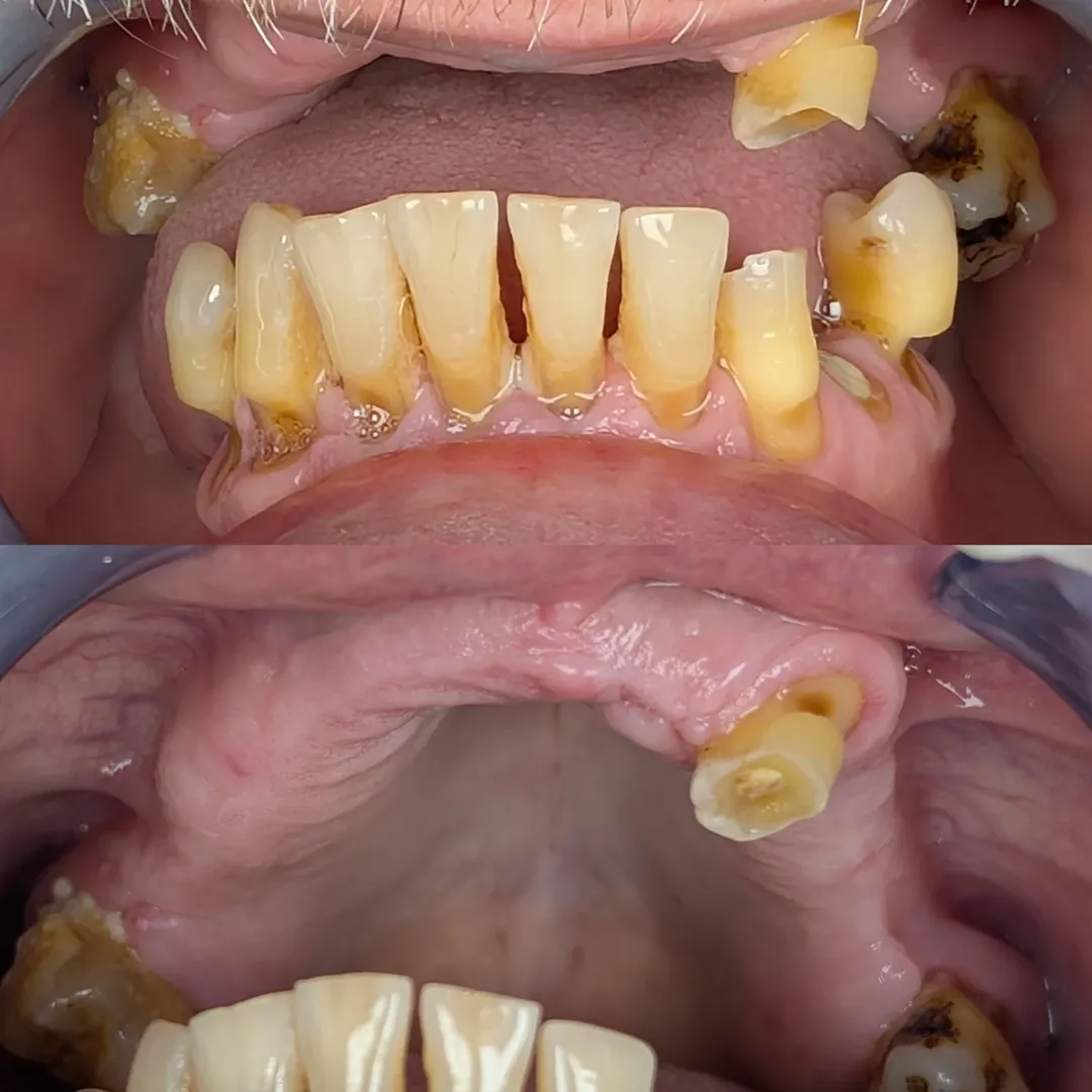
Situação inicial
O paciente apresentava perda dentária extensa no maxilar superior, com dentes remanescentes severamente comprometidos. Havia uma perda significativa de dimensão vertical de oclusão (DVO), o que afetava a estética facial, o suporte labial e a função mastigatória.
A arcada inferior também mostrava sinais de desgaste e comprometimento, mas o foco principal deste caso foi a reabilitação completa da arcada superior.
O objetivo era claro: devolver ao paciente dentes fixos, estéticos e funcionais, com o mínimo de tempo sem prótese e o máximo de conforto possível durante todo o processo.
A solução escolhida
Optei por uma reabilitação fixa implanto-suportada com protocolo All-on-6, uma abordagem que permite resolver casos complexos de edentulismo de forma previsível e eficiente.
O caso seguiu estes passos:
- Extração dos dentes remanescentes: Removi todos os dentes superiores comprometidos, eliminando focos de infeção e preparando a arcada para receber os implantes.
- Regularização óssea: Após as extrações, realizei a regularização do rebordo alveolar para otimizar o perfil protético e garantir uma boa adaptação da prótese definitiva.
- Colocação de 6 implantes: Instalei seis implantes no maxilar superior, estrategicamente distribuídos para suportar uma prótese híbrida fixa. Na cirurgia, conseguimos torques superiores a 50 Ncm, o que garantiu uma excelente estabilidade primária e permitiu avançar com carga imediata.
- Provisionalização imediata: Logo após a cirurgia, coloquei uma prótese provisória fixa sobre os implantes. O paciente saiu da consulta com dentes fixos, restabelecendo de imediato a estética e a função mastigatória.
- Prótese híbrida definitiva: Após o período de osteointegração, avancei com a prótese híbrida definitiva. A peça foi desenhada para restabelecer a estética do sorriso, o suporte labial, a dimensão vertical e a função mastigatória completa.
Esta abordagem permitiu-me realizar uma reabilitação completa de forma eficiente, com o paciente a ter dentes fixos desde o dia da cirurgia até à entrega da prótese definitiva, sem nunca ficar sem prótese.
Benefícios para o paciente
- Dentes fixos desde o primeiro dia: A carga imediata permitiu que o paciente saísse da cirurgia já com uma prótese provisória fixa, evitando o período desconfortável sem dentes e devolvendo estética e função de imediato.
- Restauração completa da estética: A prótese híbrida definitiva devolveu a harmonia do sorriso, com suporte labial adequado e dimensão vertical restaurada, o que rejuvenesceu a aparência facial do paciente.
- Função mastigatória plena: Com seis implantes a suportar a prótese, a estabilidade e a força mastigatória são comparáveis às de dentes naturais, permitindo ao paciente comer com conforto e segurança.
- Solução duradoura e previsível: O protocolo All-on-6 oferece uma distribuição de forças equilibrada com seis pontos de ancoragem, o que aumenta a longevidade e reduz o risco de complicações a longo prazo.
- Resolução rápida de um caso complexo: Este tipo de abordagem permite resolver casos que, à primeira vista, parecem muito complexos, de forma confortável e relativamente rápida para o paciente.
Resultado
Nas imagens, é possível acompanhar a transformação completa deste caso. Desde a situação inicial com dentes severamente comprometidos, passando pela fase cirúrgica com a colocação dos implantes, até ao resultado final com a prótese híbrida definitiva instalada.
Conclusão
Esta reabilitação demonstra como o protocolo All-on-6 com carga imediata pode transformar casos de edentulismo extenso de forma rápida, previsível e confortável para o paciente. A combinação de planeamento cirúrgico cuidado, boa estabilidade primária dos implantes e uma prótese híbrida bem executada permite alcançar resultados estéticos e funcionais de excelência.
É uma solução que resolve de forma definitiva problemas que afetam profundamente a qualidade de vida do paciente, devolvendo-lhe não só dentes, mas confiança, conforto e funcionalidade.
Se queres saber mais sobre reabilitações orais, técnicas e casos clínicos, subscreve à minha lista de emails e acompanha os próximos artigos.















.webp?h=3b3ccf13e0716c0acb112f183ebb799c)

